市川駅近くで極力残す神経治療!
井関デンタルオフィスの特徴
駅の目の前に位置し、アクセスが非常に便利です。
残せる神経は極力残すというポリシーで安心の治療が受けられます。
丁寧な治療とセラミック交換で高い満足度を実感できる医院です。
市川駅シャポーから出てすぐ雨にも濡れない立地で、とても通いやすい場所にある。受付の方も親切な対応、予約時間もこちらの都合を考慮しながら対応してくれる。先生の説明も丁寧で、治療方針や問題も丁寧に説明してくれる。もちろん治療もしっかり安心してお任せでき痛みもなく完治しております。歯科衛生士さんもひとつひとつの工程も説明しながらこちらのペースで綺麗な歯にしてくれて毎回楽しく訪問させて頂いております。
ホームページの「歯を残す治療」の言葉にひかれて来院する事にしました。最初は歯のクリーニングで通院しました。その時、何気に歯の違和感を先生にお話しすると丁寧に対応して頂きました。自費での神経の治療と根の病気の治療をして頂きました。先生が得意とされている治療のようで信頼してお願いして良かったと思っています。クリーニングも丁寧に対応して下さいました。1時間ぐらいかかりますが1回でクリーニングが終わるので時間がお忙しい方にはオススメです。治療後の経過観察も丁寧です。
歯の根元が腫れていることに気づき受診しました。過去の経験から「根管治療が必要かも」と覚悟していたのですが、丁寧に診察いただき、「現時点では治療の必要はありません」との説明。無駄な治療を勧めることもなく、「費用もかからず済んでよかったですね」と声をかけてくださり、誠実で信頼できる先生だと感じました。その後、噛みしめ対策としてナイトガード(マウスピース)を提案され、以前他院のものが合わず使えなかったことを伝えると、噛み合わせに合わせて丁寧に調整してくださり、今では手放せないほど快適です。予防歯科の対応も非常に丁寧で、歯科検診のクリーニングでは歯石除去もきちんと行っていただけます。他院ではエアフローだけで終わることも多くスッキリしない感じがしていましたが、ここでは安心してお任せできます。院内は清潔感があり、先生も歯科衛生士さんも対応が丁寧です。井関先生は「本当に歯科治療が好きなんだろうな」と感じるような方で、その丁寧さや説明のわかりやすさからも、プロフェッショナルな姿勢が伝わってきます。過去に勤務されていた医院のブログも拝見し、こちらを選びましたが、結果として本当に正解でした。以前は10年以上同じ歯科医院に通っていましたが、「もしかして合っていなかったのでは」と感じたことをきっかけに、長い期間をかけて市川近隣の歯科医院を検診で利用して比較してきました。その中でもダントツで信頼できると感じています。市川駅近辺で信頼できる歯医者さんを探している方に強くおすすめします。
まず、先生やスタッフの対応が、とても親切で好感が持てました。また、治療や金額の方も細部まで丁寧にしていただけるので、納得して治療を受けられます。虫歯治療にも神経を残したい方にも非常におすすめです。治療後の歯の見た目も非常に綺麗なのもさらに推しポイントです。今後ともよろしくお願いします。
駅の目の前で立地が良く、最新の設備が揃っていて清潔感のある医院です。約10ヶ月間通って、全ての虫歯を治療していただきました。歯医者へ行くことの抵抗感が強く、長年放置していた虫歯はかなりの重症だったらしく、院長が状態を優しく説明してくれました。丁寧な説明と治療方法などわかりやすく、気軽に話せるフレンドリーな人柄で安心しました。1人1人に時間をかけて治療をするところ、一本の歯に対する丁寧さが、今まで行った事のある歯医者と雲泥の差を実感しました。今後も定期的に受診をして、キレイになった口内環境を維持していきたいです。
「残せる神経は極力残す」というポリシーをお持ちの先生で、大量の虫歯でしたが1本1本治療内容とコストについて比較説明いただき、難度の高い穴の開き方をしていたらしかった(笑)のですが、技術を駆使していただき、丁寧に治療いただきました。スタッフの皆さまもいつも丁寧で、気持ちのよいご対応でした。今後もメンテナンスで定期的に通わせていただきたいと思っております。大変お世話になりました。ありがとうございました。
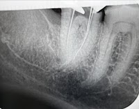
根管治療を受けました。危うく神経を失うところを助けてもらったので感謝しています。普段からハードなトレーニングをしており、歯が命の僕にとって非常に有難い治療でした。また、その根管治療を非常に得意としている先生なので、治療もスムーズでした。歯医者の「痛くない」は世の中で1、2位を争うほど信じられなかった僕の人生で、初めて本当に痛くない治療で感動です。これから探す方、セカンド・オピニオンの方にもオススメできる歯科です。
約10ヶ月かけて治療し、セラミックへ17本の交換と根幹治療を受けました。 結論から言うと、「とにかく素晴らしい」の一言に尽きます。まずは、井関先生の技術力と渾身の治療は圧巻でした。セラミックの仕上がりはとても自然で、噛み合わせも完璧でした。治療中の説明もわかりやすく、こちらの不安や疑問にもしっかり答てくださいました。根幹治療の方も井関先生お任せでできました。治療中も不安感もなく安心感のある対応をして頂きました。また、麻酔も的確で痛みや不快感がほとんどなく、信頼してお任せできました。治療中だけでなく、治療後の食事にも支障が無いように強いて頂き、フォローもしっかりしていて、安心感がありました。また、館内はとても清潔で、最新の設備が整っており、快適に通える環境です。スタッフの方々も親切で、予約もスムーズでした。井関デンタルオフィスに出会って本当によかった。ここまで丁寧に、そして高いレベルで治療してくださる 歯科医院はなかなかないと思います。井関デンタルオフィスに出会って本当によかったです。
前歯の隙間を埋める治療を受けましたが、非常に満足しています。治療に入る前に、先生が丁寧に治療内容を説明してくれました。自分の歯の状態や、どのように隙間を埋めるのかを分かりやすく教えてくださり、施術前には実際に取った歯型を使い治療後どんな風になるかを見せてくださり不安が解消されました。治療中も痛みを最小限に抑えるための配慮があり、リラックスして受けることができました。院内は清潔感があり、最新の設備が整っている印象を受けました。治療後も口内の違和感が全くなく前歯の隙間はとても自然にきれいに埋まり自信を持って笑えるようになりました。スタッフの皆様もとても親切で優しく安心して過ごす事ができました。先生、スタッフの皆さんの温かい対応と、確かな技術に心から感謝しています。
| 名前 |
井関デンタルオフィス |
|---|---|
| ジャンル |
|
| 電話番号 |
047-721-6975 |
| 営業時間 |
[火水金土月] 10:00~13:00,14:30~19:00 |
| HP | |
| 評価 |
4.5 |
| 住所 |
|
|
ストリートビューの情報は現状と異なる場合があります。
|
周辺のオススメ
この度は、10年以上前に失敗した根管治療に対して、保険では治せないところまで、マイクロスコープを使った自由診療で丁寧に治療いただき、ありがとうございました。顕微鏡で細部まで見て治療いただき、また手つきなどで熟練度が伝わり、大変安心感がありました。