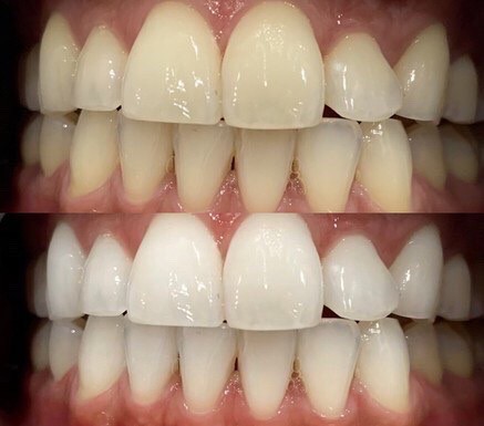
週1回で白さアップ、通い放題の魅力!
セルフホワイトニングサロン エクシアホワイトニング戸田公園店の特徴
初めてでも通いやすく、明るい雰囲気が魅力的です。
1回約30分と手軽なホワイトニング体験ができます。
通い放題プランで、定期的にメンテナンスが可能です。
初めてのホワイトニングで緊張もしていたのですがフランクに接してくれて、いつも雰囲気が明るくて初めての人こそとても通いやすい、通いたくなるような場所です!歯もしっかり白くなって冗談抜きで人生変わります!急な予約など相談も対応してくださってとても助かっています!是非とも歯を白くしたい人にはまずは試してもらって白くなってく喜びを知って欲しいです!
1回約30分でメンテナンスできる手軽さと、スタッフさんが親身にしてくださるので 通うことを決めました。通い放題のため追加料金がいっさい無いのが嬉しいです。徐々に歯が白くなっていくことが嬉しくて、友達と写真を撮ることも増えました。引き続き目標の白さになるよう継続していきたいと思います。
約1時間で歯が白くなるので会食前や週1回のメンテナンスで通わせていただいてます。1回でも効果を感じられるのが嬉しいです。スタッフのみなさんの歯が白く憧れです。これからも清潔感・身だしなみとして通わせて頂きます。
初回からすぐに効果があらわれて白くなるたびにモチベーションが上がります。普段は週2回ほどで15分、15分、9分の3回照射をしています。照射中は心地よい温かさで私はいつも眠ってしまいます。店内はアットホームな雰囲気で従業員の方も気さくで話しやすいです。
週1回の頻度で半年ほど通っており、はじめの頃より白くなったと感じています。(頻度を増やせば、より効果は上がるのだろうなと)3歳の息子連れになってしまう事が多いのですが、スタッフさん達が見守って下さり、一緒に待たせていただけるお陰で、とても助かっています!前日等、直前に空きを確認し予約することが多いですが、予約も取りやすいため継続できています。今後もよろしくお願いします〜😊
コーヒーもワインも大好きな私にとって定額通い放題は助かります!1時間程度で気軽に通えるので続けられそうです。マンションの一室でアットホームな雰囲気です。初めてのホワイトニングの方も安心して始められると思います。
| 名前 |
セルフホワイトニングサロン エクシアホワイトニング戸田公園店 |
|---|---|
| ジャンル |
|
| HP | |
| 評価 |
5.0 |
| 住所 |
〒335-0016 埼玉県戸田市下前2丁目12−13 戸田公園ステイタス 702号 |
周辺のオススメ
通い放題の特権を生かして週一、ニで通っています。平日仕事終わりでも施術してくれます。気を張るような雰囲気ではなくアットホームな雰囲気で通い続けることができるので自然と歯のトーンも上がっています。